Ασθένειες του αίματος (αιματολογία)

Αυτή η κατηγορία καλύπτει τις ασθένειες του αίματος με συμπτώματα, αιτίες, διαγνωστικά, επιλογές θεραπείας και βασικά στοιχεία πρόληψης.

Πανκυτταροπενία: Αιτίες, Διάγνωση, Θεραπεία και Πρόγνωση

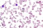
Η πανκυτταροπενία δεν είναι ανεξάρτητη ασθένεια, αλλά ένα σύνδρομο στο οποίο μειώνονται ταυτόχρονα οι 3 κύριες σειρές κυττάρων του περιφερικού αίματος: ερυθροκύτταρα, λευκοκύτταρα και αιμοπετάλια.

Απλαστική κρίση: συμπτώματα, διάγνωση, θεραπεία και πρόγνωση

Μια απλαστική κρίση είναι μια οξεία και συνήθως προσωρινή διακοπή της παραγωγής ερυθρών αιμοσφαιρίων στον μυελό των οστών, προκαλώντας απότομη πτώση των επιπέδων αιμοσφαιρίνης σε διάστημα αρκετών ημερών.

Νόσος Erdheim-Chester: συμπτώματα, διάγνωση, θεραπεία και πρόγνωση

Η νόσος Erdheim-Chester είναι ένα εξαιρετικά σπάνιο κλωνικό ιστιοκυτταρικό νεόπλασμα στο οποίο μη φυσιολογικά αφρώδη ιστιοκύτταρα συσσωρεύονται στα οστά και τους εξωοστικούς ιστούς, προκαλώντας χρόνια φλεγμονή, ίνωση και προοδευτική βλάβη οργάνων.

Νόσος του Castleman: συμπτώματα, μορφές, διάγνωση και θεραπεία

Η νόσος Castleman είναι μια σπάνια ομάδα λεμφοϋπερπλαστικών διαταραχών στις οποίες οι λεμφαδένες διογκώνονται και αναπτύσσουν χαρακτηριστικές αλλαγές υπό μικροσκόπιο.

Πρωτοπαθής μυελοΐνωση: συμπτώματα, διάγνωση, θεραπεία και πρόγνωση

Η πρωτοπαθής μυελοΐνωση είναι μια χρόνια κλωνική κακοήθης νόσος του αιμοποιητικού συστήματος από την ομάδα των μυελοϋπερπλαστικών νεοπλασμάτων.

Υποπρωτεϊναιμία: Αιτίες, συμπτώματα, διάγνωση, θεραπεία και πρόγνωση

Η υποπρωτεϊναιμία είναι μια πάθηση κατά την οποία η συνολική πρωτεΐνη ορού μειώνεται κάτω από το κατώτερο όριο του εργαστηριακού κανόνα.

Παθήσεις του μυελού των οστών: συμπτώματα, διάγνωση, θεραπεία και πρόγνωση

Οι ασθένειες του μυελού των οστών δεν αποτελούν μία μόνο διάγνωση, αλλά μια μεγάλη ομάδα παθήσεων στις οποίες διαταράσσεται ο σχηματισμός των κυττάρων του αίματος ή ο μυελός των οστών αντικαθίσταται από έναν παθολογικό κλώνο κυττάρων, ινώδη ιστό ή διήθηση όγκου.

Αιμορραγική Πορφύρα: Αιτίες, Συμπτώματα, Διάγνωση, Θεραπεία και Πρόγνωση

Η αιμορραγική πορφύρα δεν είναι ξεχωριστή ασθένεια, αλλά ένα κλινικό σύνδρομο στο οποίο εμφανίζονται μη αυξημένα αιμορραγικά στοιχεία στο δέρμα και μερικές φορές στους βλεννογόνους που δεν εξαφανίζονται όταν πιέζονται.

Πορφύρα: Αιτίες, Τύποι, Προειδοποιητικά Σημάδια, Διάγνωση και Θεραπεία

Η πορφύρα είναι μια μη λευκαντική αιμορραγία στο δέρμα ή στους βλεννογόνους που είναι μεγαλύτερη από 2 χιλιοστά.

Φαρμακευτική θρομβοπενία: αιτίες, συμπτώματα, διάγνωση και θεραπεία

Η φαρμακευτική θρομβοπενία είναι η μείωση του αριθμού των αιμοπεταλίων στο αίμα που αναπτύσσεται μετά τη λήψη ενός φαρμάκου λόγω της καταστροφής των αιμοπεταλίων, της αναστολής του σχηματισμού τους στον μυελό των οστών ή, λιγότερο συχνά, λόγω ενός συνδυασμού διαφόρων μηχανισμών.

Pages